Free Dental Hygiene Care – Plus Bonus Incentives!

URGENT
Posted
Hurontario St unit 105, Mississauga, ON L5G(View Map)

Description

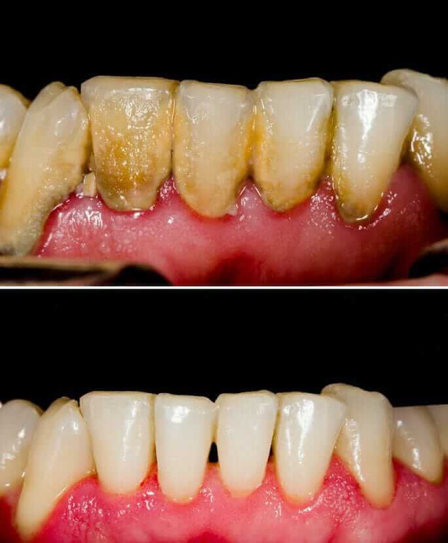
I’m a dental hygiene student in my 2nd year of training, and I’m covering the total cost of services at my school for qualifying clients. All care is supervised by licensed dental professionals to make sure it’s safe, thorough, and high quality. Right now, I especially need: • Children (ages 5–13) • Adolescents (ages 12–17) • Adults with heavier tartar build-up or who haven’t had a cleaning in a long time Appointments are longer than a typical dental visit because everything is done carefully under supervision, but you’ll get safe, comprehensive care at no cost. Reliable clients who complete care also receive a bonus incentive at the end of treatment. Location: 1599 Hurontario St, Mississauga Call or text me (Kathleen) at 1-782-414-9020.

27 visits
Business
1 listing
--
avg reply
--
reply rate
--
on Kijiji
Take steps to make your Kijiji transactions as secure as possible by following our suggested safety tips. Read our Safety Tips